Buenos Aires, Domingo 02 de Noviembre de 2025
Acerca de EsteticaMedica | Clasificados | Eventos | Actividades | Staff | Publicidad | Contacto
24-03-2025 | Tecnología
La biotecnología médica ha experimentado avances significativos en los últimos años, transformando el panorama de la atención médica y ofreciendo nuevas soluciones para diversas enfermedades. En esta nota, algunos de los desarrollos más recientes:
12-03-2025 | Tecnología
También conocida como terapia con láser de baja intensidad (LLLT), la FMB es una tecnología emergente en el campo de la medicina estética que utiliza luz para promover efectos biológicos en los tejidos, favoreciendo procesos naturales de curación, regeneración y rejuvenecimiento.
20-01-2025 | Tecnología
A diferencia de otras IAs, Evo está basada en modelos de lenguaje de gran tamaño, lo que le permite generar secuencias genómicas bacterianas completas. Entrenada con datos genómicos microbianos, su desarrollo abre nuevas oportunidades para el diseño de proteínas y genomas sintéticos.
02-04-2022 | Tecnología
La empresa Marelli Corporation anunció el lanzamiento de CryoSmart, un nuevo equipo de su línea Generation X para tratamientos faciales y corporales. Mediante sesiones rápidas, no invasivas e indoloras, reduce, modela y tiene efecto lífting inmediato y duradero a largo plazo.
29-10-2021 | Tecnología
Creados por Marelli, diseñados en Milán y fabricados en Buenos Aires, están basado en Body Up® Pro, una original y revolucionaria tecnología de estimulación neuromuscular mediante pulsos magnéticos totalmente indolora y muy superior a la estimulación muscular convencional.
Tecnología | Biomedicina
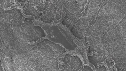
El proyecto tuvo su origen a partir de los estudios sobre la cadera y la artritis de la profesora Melissa Knothe Tate y su equipo de la Universidad de Nueva Gales del Sur, en Australia, que quería investigar el transporte molecular que se produce a través de la sangre.
Sabado 18 de Abril de 2015






Fuente: BBC Mundo
Deje su comentario
IMPORTANTE: Los comentarios publicados son de exclusiva responsabilidad de sus autores y las consecuencias derivadas de ellas pueden ser pasibles de las sanciones legales que correspondan. Aquel usuario que incluya en sus mensajes algun comentario violatorio del reglamento será eliminado e inhabilitado para volver a comentar.
COMENTARIOS DE LOS LECTORES (0)
Capacitación
La finalidad de este reconocido curso internacional Hands On es poner al día los conceptos básicos de la Ecografía Doppler aplicados al estudio de la enfermedad venosa crónica y su utilización en la realización de distintos tratamientos endovasculares venosos.
Publicado en Nature, el sorprendente rol de la IL-11 se descubrió por casualidad. Equipos del Imperial College London y Duke-NUS de Singapur investigaban un método para detectar esta proteína cuando notaron algo inesperado. La clave: su función en la inflamación crónica.
Organizada por EIMO Escuela Iberoamericana de Medicina Orthomolecular, el 7 de diciembre la Dra. Alejandra Rodríguez Zía presentará en Buenos Aires "Pensando a tu Paciente". Destinada a médicos, veterinarios y odontólogos, ofrecerá claves de la medicina orthomolecular aplicadas a la clínica para personalizar tratamientos.
EL QUE BUSCA, ENCUENTRA.
Estetica-medica.info ofrece a todos los profesionales, empresas e instituciones del rubro la oportunidad de publicar gratuitamente en sus Clasificados, que cuenta con 3 tipos de avisos: Trabajo Pedido (búsqueda de personal), Trabajo Ofrecido (profesionales que buscan trabajo) y oportunidades Comerciales (compra/venta particular de equipamiento usado, fondos de comercio, alquiler, permutas, etc.).
Para publicar su aviso, complete, a continuación, el formulario online.
Encuesta
Qué le parece el nuevo sitio de EstéticaMédica.info?
06 de Noviembre
Argentina | Ciudad Autónoma de Buenos Aires
Cassa Lepage Art Hotel: Bolívar 373, Buenos Aires, Argentina
21 de Noviembre
Argentina | Ciudad Autónoma de Buenos Aires
Círculo Oficiales de Mar: Sarmiento 1867, Buenos Aires, Argentina. Modalidad: Híbrido, presencial y online. Dirigido a: profesionales de la salud y público interesado en la materia. Director: Dr. Sacha Barrio Healey (Francia), Disertantes invitados: Dra. Alejandra Rodríguez Zia y Dr. Mauricio Vela. Formulario online. Más info
Antiaging
Lo que se trata de evitar es el proceso de oxidación prematuro de las células y, por consiguiente, su mal funcionamiento por carencias de ciertas vitaminas imprescindibles para el buen funcionamiento del medio interno. Su correcta reposición conlleva una buena evaluación médica personalizada.
Envejecer es sinónimo de desvitalización. En cambio, la terapia biológica celular equivale a revitalizar. Es una verdadera revitalización celular. Todos los órganos de nuestro cuerpo pueden ser revitalizados con una terapia específica. El principio básico de la terapia celular es la órgano-especificidad: la piel cura a la piel, el hígado cura al hígado y así será para cada órgano o tejido tratado.
Se multiplican mediante divisiones mitóticas para dar lugar a otras células madre idénticas. También tienen la capacidad de diferenciarse en diversos tipos de células especializadas. En tecnología cosmética hace referencia principalmente a activos de origen vegetal capaces de activar el metabolismo celular.
Proceso continuo que modifica las redes neuronales existentes haciendo adaptaciones estructurales y funcionales en las sinapsis, la neuroplasticidad actúa como respuesta a los cambios en el comportamiento. En otras palabras, un “recableado” del circuito neuronal cada vez que se aprende algo nuevo.
Lo primero que hay que hacer es medir hormonas para ver en qué niveles se encuentran. Una vez que se decide qué hay que suplementar, se determina la dosis y modo de administración y se le explica al paciente; después la idea es chequear los niveles hormonales a los dos meses. El tratamiento suele extenderse por tres años en mujeres con premenopausia.
Los telómeros se acortan de forma natural con la edad, pero las conductas poco saludables pueden hacer que se acorten antes, inactivando el gen Sirt1 y acelerando los procesos de envejecimiento. La buena noticia es que científicos demostraron que es posible volver a activarlo.